아들이 계단 턱에 부딪혀서 치아와 잇몸을 다치는 사고가 있었습니다. 그 일로 치과에 가게 되어 다쳤을 때의 증상과 대처 방법에 대해 설명해 드리고자 합니다.
[ 계단에 치아 부딪혔을 때 증상들 ]
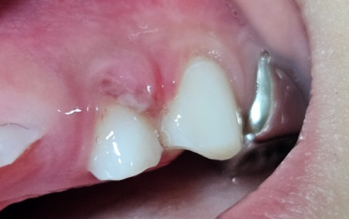
아이와 함께 지하철에서 내려서 계단을 올라가고 있는데 아들이 먼저 가겠다고 뛰다가 미끄러졌습니다. 신나게 말하며 빨리 올라가다가 입을 벌린 상태로 계단 턱에 치아를 부딪혔습니다. 입 가리며 통증을 호소했는데 치아를 보니 잇몸에서 피가 많이 흐르고 윗니의 앞니 주변 잇몸색이 변했다가 다시 돌아오는 듯했습니다.

[ 계단에 치아 부딪혔을 때 대처 방법 ]
* 치아 상태가 걱정된다면 치과에 가본다.
앞니는 영구치여서 뿌리에 이상이 있을 수도 있고 앞니 옆니에 피가 많이 나서 치과에 가보기로 했습니다. 겨우 달래어서 치과에 가서 사고에 대해 이야기한 후 진료를 받았습니다. 치아 상태를 확인하기 위해 부분 엑스레이 촬영을 했습니다.
요즘에는 누워있는 상태에서 무선 엑스레이 기계로 간편하게 촬영하여 바로 확인할 수 있네요. 저는 처음 봤어요. ^^: 확인 결과 치아 상태를 다음과 같이 설명해 주셨습니다.
- 다행스럽게 영구치 앞니의 뿌리에 손상은 없음. (앞니는 부딪히지 않았을 수도 있는 것 같아요. 하지만 혹시 모르니 치아 컬러가 변해 멍니가 되면 치과에 다시 내원해서 확인이 필요함.)
- 피가 많이 나는 치아는 유치임. 유치 뿌리 한쪽이 없어진 상태로 보여서 나중에 불편함이 있으면 발치를 하면 된다고 함. 피가 많이 나는 것은 잇몸에 상처도 많이 나고 치아가 부딪히면서 쉽게 말하면 '인대가 늘어났다'라고 생각하면 된다고 함. 그래서 며칠간은 가급적 앞니로 음식물을 씹지 않도록 주의하면 빨리 나아질 것이라고 함.
- 상처와 통증으로 아파하면 부루펜이나 애니펜시럽 등의 해열 진통제를 먹이라고 함. 치과에서 보통 애니펜 시럽을 처방해 준다고 하는데 집에 동일한 약이 있어서 별도 처방을 받지 않았음.
- 부딪힌 사고로 인한 치아 손상은 일주일 후 다시 내원하여 확인하는 것이 좋으며 그전에 이상이 있으면 다시 내원하라고 함.
[ 치과진료 후 증상과 상태 ]
영구치에 문제가 없어서 다행이었는데 아들이 며칠 동안 양치할 때 아파했습니다. 진료 다음날이 되니 인대가 늘어났다는 표현처럼 잇몸이 엄청 부었습니다. 양치할 때 너무 아파해서 애니펜시럽을 아침저녁으로 먹였습니다. 다치고 이틀이 지난날에 계속 아프다고 해서 치과 검진을 받았는데 나아지고 있다고 하네요.
걱정되면 병원에 가서 확인하는 것이 심적으로도 편하긴 합니다. 확인하고 온 이후로 아들의 치아 상태가 많이 좋아졌고 통증도 많이 사라졌습니다. 셋째 날이 되니 부어 있던 잇몸도 조금씩 가라앉고 양치할 때 덜 아프다고 합니다. 휴~ 일주일이 지나니 이제 양치할 때도 아파하지 않네요. 잇몸 상처는 시간이 약인 듯합니다.


어린아이들일수록 순식간에 넘어지고 부딪히는 사고들이 많이 일어날 수 있는데요. 제 아들은 치아 사고만 두 번째네요. 아들이 이번에 계단에서 아픈 경험을 하고 나니 이런 말을 하네요. " 계단은 이제 질색이야! "라고요. 사고 후로는 건물 계단을 잘 올라가던 아들이 엘리베이터를 찾으려고 하는 모습이 안쓰럽기도 하고 귀엽기도 하네요. 당분간은 안 뛰고 천천히 다닐 것 같습니다.
지금까지 계단에서 넘어져서 치아를 다쳤을 때의 증상과 대처 방법, 나아지는 과정을 소개해 드렸는데요. 치아를 다쳤을 때 의심스럽고 걱정이 된다면 치과가 가서 진료를 받아보시게 가장 좋은 방법이고 상태를 보고 결정하실꺼라면 이상 증상이 있다면 꼭 치과에 가서 확인하시는 것이 좋다고 생각됩니다. 육아에 작은 도움이 되셨길 바라며 글을 마치도록 하겠습니다.
'육아정보 이야기' 카테고리의 다른 글
| 아이 로션 추천, 건조한 피부에 고보습 원할 때 그린핑거 에센셜 로션 (0) | 2024.03.06 |
|---|---|
| [새학기 준비] 재구매하는 에이블 EVA 실내화(사이즈 주문할 때 주의점, 180 : 190 비교) (0) | 2024.02.24 |
| [초등입학선물] 자동 연필깎이 오토베어 선물 후기 (0) | 2024.02.01 |
| [초등가방/입학선물 추천!] 남아 조던 키즈 '조던 러버핀 스쿨백팩 책가방 세트' 구매 후기 (0) | 2024.01.19 |
| [초등준비-수영] 수영가방 추천 '피닉스 아동 사각 수영가방 ' 후기 (0) | 2024.01.15 |
댓글